孩子拔牙有哪些要注意的事项呢?

儿童时期的牙齿不被关注,长大后就会出现有很多牙齿问题,孩子是祖国的未来...【详细】
牙齿矫正需要拔牙吗?

牙齿长得不整齐,歪倒错乱,非常影响形象美观,影响人际交往,容易被人取笑...【详细】
牙齿矫正一定要拔牙吗?

牙齿长得不好、看起来排列不整齐,很容易被人取笑,而牙齿矫正可以让我们的...【详细】
借鉴美国本科教育经验,提高人才培养质量

12月10日下午,暨南学习论坛第38期暨干部培训专题辅导报告会在曾宪梓科学馆国...【详细】
用草莓如何美白牙齿吗?

尽管草莓与牙齿美白感觉毫不相关,但事实上它是一种美白牙齿的天然水果。草...【详细】
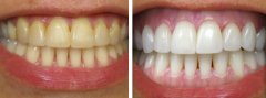
皓齿美白完好解决牙齿发黑

难看的黑牙会给我们交际生活带来很大的影响,如果有牙齿发黑的现象,应该及...【详细】
得了四环素牙怎么办?

四环素牙是一种严重的牙齿疾病,让人们的牙齿看起来显得非常的难看,导致很...【详细】
如何预防儿童牙齿着色?

牙齿颜色会随着年龄的变化而逐渐变黄,也与人们的饮食习惯相关。预防牙齿着...【详细】
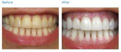
皓齿美白牙齿效果好不好?

如今生活水平不断提高,爱美者们也越来越重视牙齿方面的健康,一口黄澄澄的...【详细】
皓齿美白的适应症是什么?

近年来,很多朋友都会选择皓齿美白进行牙齿美白,它能够快速解决人们一口发...【详细】
版权:广州穗华口腔医院
备案号:粤ICP备15046903号
医疗广告审查证明文号:粤(A)广(2024)第255号