很多人会觉得种植牙价格稍微偏高,但种过牙的患者都知道,价格跟效果是成正比的。话不多说,带你看看一场牙齿大PK,你就会秒懂缺牙修复只选种植牙的必要性。那么种植牙算贵吗?下文为大家揭晓。
健康PK
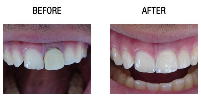
种植牙:无损邻牙、媲美真牙,完好保留牙槽骨
固定假牙:需磨损健康邻牙导致各种牙齿并发症、牙槽骨易吸收、金属过敏
活动假牙:各种牙齿并发症、食物嵌塞、牙槽骨萎缩、基牙疼痛,易脱落
美观PK
种植牙:媲美自然牙
固定假牙:边缘不密合容易导致牙体着色
活动假牙:张口可以看到塑料基托
舒适度PK
种植牙:完美结合,无需摘取,方便舒适
固定假牙:邻牙被磨损易出现牙齿酸痛
活动假牙:佩戴时会有异物感,恶心感、易出现疼痛感
牢固PK
种植牙:与牙槽骨长在一起,咀嚼效果恢复近乎完美
固定假牙:依靠两侧邻牙受力,受力较弱
活动假牙:依靠口腔粘膜和部分邻牙承受压力,受力差
使用寿命PK
20年后的种植牙:依然完美挺立
8年后的传统假牙:已经不见踪影
一天种好满口牙,费用节省一大半,实现全口、半口种植牙即刻种植、即刻负重、即刻使用。All-on-4全口种植牙依靠独立的牙根存在,非常坚固,对人体无危害,而且寿命可以长达几十年。
1、种牙颗数少:只需4颗种植体就能够恢复半口牙,减少多颗种植费用。
2、适用范围广:对于长期缺牙导致牙槽骨萎缩严重的患者照样可以顺利种牙。
3、坚固耐用:四颗种植体抓力性好,术后的牙齿坚固程度和健康真牙一样。
4、自然美观:色泽和外观和真牙一样,完全可以以假乱真。
穗华口腔是您爱牙的放心之选
穗华口腔医院是拥有百年人文底蕴的暨南大学附属口腔医院临床教学医院,是广东省卫生厅批准成立的口腔专科医院,是集口腔诊疗、教学和科研为一体的现代化口腔综合医院,组建了由多位博士生导师和国内外知名专家构成的专业口腔专家队伍,承诺永远以顾客的牙齿健康为必要因素,确保给顾客高性价比的口腔治疗。
温馨提醒:进行种植牙时一定要选择正规的牙科,专业的医生进行治疗,以免出现各种问题。牙齿问题是不容忽视的问题,对于牙齿问题,我们应该尽早进行治疗,以免给我们的生活造成不必要的麻烦和困扰。如果您还有什么问题或需要帮助,可在线咨询或拨打热线:020-62266666,将您的问题告诉在线医生,专家不仅能耐心为您分析解答,还能提供预约挂号的服务,让你就诊更方便快捷,“百度100遍,不如咨询一次”。