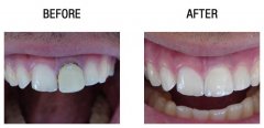
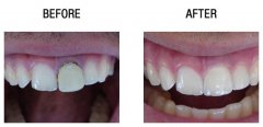
多颗牙齿缺失做种植后会松动吗?

种植牙是目前不错的多颗牙齿缺失修复的方法,不过不少人会担心牙齿种植后会...【详细】
不适合做种植牙有哪些人?

种植牙与传统的牙齿修复手段相比,更加稳固、不易移动而广受欢迎。但种植牙...【详细】
种植牙术后多久能吃东西呢?

种植牙是牙齿缺失修复的一种理想的方法,因不具破坏性、咀嚼能力大大的恢复...【详细】
种植牙过程麻烦吗?

种植牙是针对牙齿缺失的一种非常好的修复方法,因其不具破坏性,媲美天然牙...【详细】
种植牙有哪些适用范围?

种植牙是通过种植人工牙根到牙槽骨内,待其与牙槽骨结合稳定后在套上牙冠的...【详细】
暨南大学-罗德斯大学孔子学院理事会在举行

12月9日,南非罗德斯大学副校长彼得克雷顿教授(Prof. Peter Clayton)、孔子学院...【详细】
广州洗牙需要多少钱呢?

牙齿的健康也彰显着我们身体的健康,目前越来越多的人重视牙齿的健康,通过...【详细】
洗牙有哪些步骤?

洗牙,就是清洗牙齿,牙科行内话叫洁治,既是清洁,也是治疗,预防。也就是...【详细】
洗牙对健康有哪些好处呢?

洗牙能够帮助人们清洁牙齿上附着的菌斑、结石及沉积在牙齿表面的色素,这对...【详细】
洁牙有什么需要注意的事项?

随着人们健康意识的提高,牙齿保健也成为了越来越多人的关注点。不少人都会...【详细】
版权:广州穗华口腔医院
备案号:粤ICP备15046903号
医疗广告审查证明文号:粤(A)广(2024)第255号