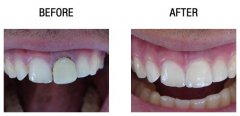
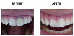
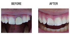
装个烤瓷牙要多少钱?

穗华口腔专家指出,对于贵金属烤瓷牙费用来说,因为其材料是采用金、银等贵...【详细】
“暨南大学白云山中一现代中药研究院”揭牌 研

12月11日下午,暨南大学与广州医药集团战略合作签约暨暨南大学白云山中一现...【详细】
假牙真的比种植牙省钱吗?

种植牙的出现,使得很多牙缺失患者齿落重生,重新享用美食和口腔健康。但是...【详细】
牙齿缺失有什么害处?

牙齿缺失损害我们的口腔健康和身体健康,牙齿缺失达到8颗以上的老年人看起...【详细】
种植牙有哪些适应症?

牙齿缺失的情况在生活中是非常常见的,意外的原因导致牙齿缺失,年纪增长导...【详细】
有牙周炎可以做种植牙吗?

种植牙是将纯钛金属经过精密的电脑设计,制造成牙根型的圆柱体,经由手术植...【详细】
牙齿为什么会缺失?

牙齿缺失的原因是多种多样的,常见的牙齿缺失,可能是龋齿或外力撞击造成的...【详细】
老人种植牙需要注意什么事项?

种植牙是通过医学方式,将与人体骨质兼容性高的纯钛金属经过精密的设计,制...【详细】
种植牙算贵吗?

很多人会觉得种植牙价格稍微偏高,但种过牙的患者都知道,价格跟效果是成正...【详细】
后牙种植要做牙片检查吗?

种植牙与传统的牙齿修复手段相比,更加稳固、不易移动而广受欢迎。但种植牙...【详细】
版权:广州穗华口腔医院
备案号:粤ICP备15046903号
医疗广告审查证明文号:粤(A)广(2024)第255号