


主要症状:牙龈红肿,出血,牙结石
治疗技术:法国超声波洗牙
治疗效果:牙齿光洁,牙周健康
法国超声波洗牙就是通过超声波的高频震荡作用去除牙结石,对牙周深部进行刮治,消除牙龈红肿,出血等症状。

其洗牙时间短,治疗方便,效果明显,不会伤害到口腔健康。




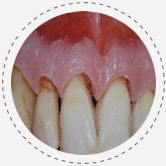
主要症状:牙龈萎缩,牙周溢脓
治疗技术:龈下刮治术
治疗效果:牙龈恢复健康,牙周健康

龈下刮治术是用精细的龈下刮治器刮除深在的病变组织和牙石菌斑,使根面光滑,有利于牙龈重新附着于根面,牙周袋消失,恢复牙龈正常状态。




主要症状:牙周脓肿,牙齿松动脱落
治疗技术:拔牙、微种植技术
治疗效果:牙周状况缓解,重获好牙
微种植技术充分考虑了缺牙者的感受,通过全景机立体扫描,3D导板科学把握种植角度。

其深度、吻合度,精确定位,完全避开危险区域,微细切口,全程微创无痛,不需植骨,安全种植,负担小,种牙不贵。







牙周病能治好吗?
怎么样治疗牙周病?
治疗牙周病需要多少钱?