【今日热点】广州市民竟结队来穗华口

4月16日上午,由广州日报联合暨南大学穗华口腔医院举办名医大讲堂-《你选对...【详细】
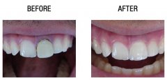
好牙好口福 种植牙全民公益系列讲堂第003期开讲

对于大部分中老人而言,缺牙是常态,牙齿缺失不仅影响正常饮食,增加肠胃负...【详细】
腾讯大粤网2016口腔文化节矫正沙龙与您相约暨南

你是否还在忍受着龅牙妹、龅牙哥、牙擦苏的人生?你是否因为畸形牙问题而被...【详细】
广州日报名医大讲堂开讲啦!你选对种牙的好时

近年来,种植牙技术逐渐流行,但不少人谈到种植牙时,只想了解其价格、优点...【详细】
重磅聚焦 广州日报春茗读者茶话会百人见证缺牙

2016年3月19日上午8点30分,广州日报联合暨南大学穗华口腔医院举办 好牙叹早茶...【详细】
广州日报2016春茗读者茶话会 穗华邀你喝早茶

对于老广而言,喝早茶已然成为了老传统,然而年纪一大,十个中老年人中有八...【详细】
建设华南口腔消费新生态 让口腔医疗消费在阳光

守信才被授信。2015年12月,由南方都市报举办的中国营销盛典上,暨南大学穗华...【详细】
中韩口腔医疗事业研讨会暨“中韩友好医院”授

中韩专家合影 2016年3月9日上午,中韩口腔医疗事业研讨会暨中韩友好医院授牌...【详细】
青春“约“惠”趴——畸形牙正畸专场活动开始

在这个不仅看能力,还看颜值的现代社会,靓丽的外貌、得体的气质形象、整齐...【详细】
种植牙全民公益系列讲堂第001期:好牙 好口福

随着我国老龄化加快,中老年人的口腔健康问题日益严重,其中,老年人的牙齿...【详细】
版权:广州穗华口腔医院
备案号:粤ICP备15046903号
医疗广告审查证明文号:粤(A)广(2025)第1188号