穗华口腔医院“好人好梦想·好牙好口福”公益援

活动首例患者已完成牙齿修复 曾经因举报他人被打掉牙齿的扫黄地图王秀勇,...【详细】
暑期矫牙狂欢趴主题沙龙强势来袭!

这是一个拼实力、看颜值的时代,一口整齐靓丽的牙齿也是一种竞争软实力。牙...【详细】
穗华口腔医院好牙好口福 种植公益讲堂

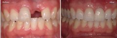
种植牙被称为人类第三副牙齿,已成为公认的最有效的缺牙修复方式。它在填补...【详细】
如何实现“牙齿矫正·美丽脸型”?一起来看看专

这是一个拼实力、看颜值的时代,一口整齐靓丽的牙齿也是一种竞争软实力。牙...【详细】
【穗华口腔 奥运品质】来穗华口腔医院

万众瞩目的2016巴西奥运会即将拉开序幕啦!无论是羽毛球场上的霸主林丹、还...【详细】
“扫黄地图”-----王秀勇

53岁的山东郓城农民王秀勇当了大半辈子默默无闻的街头艺人,如今一举成名。...【详细】
穗华口腔医院启动“好人好梦想·好牙好

曾经因举报扫黄被打掉四颗牙齿的梁山好汉王秀勇,如今获得暨南大学穗华口腔...【详细】
7月23日微笑暑期▪矫牙盛“惠”主题沙龙,与您

很多人由于牙齿不齐没有得到及时矫正,引发了各种口腔问题。然而,牙齿畸形...【详细】
挤爆现场!好牙好口福第010场种植案例分享会成

2016年7月17日,由暨南大学穗华口腔医院举办好牙好口福第010场种植案例分享会...【详细】
免费全隐形矫正 穗华口腔医院邀您共赴

巴黎时装周 一个充满梦想的地方 一个让明星名人痴迷疯狂的时尚圣地 一个时尚...【详细】
版权:广州穗华口腔医院
备案号:粤ICP备15046903号
医疗广告审查证明文号:粤(A)广(2025)第1188号