义齿有哪些类型?

牙齿缺失对于我们来说,不仅仅只是不美观的,还影响我们生活。牙齿缺失患者...【详细】
镶牙有什么需要注意事项?

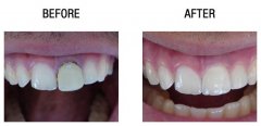
我们都希望自已的牙齿白白净净,整整齐齐,完好无损。可是生活中因为自已的...【详细】
拔牙后多久才能镶牙?

由于牙齿龋坏或因为意外导致需要拔牙处理,而拔牙之后不能让牙齿缺失,因此...【详细】
政学业多界在共商“广州创新发展道路”

为贯彻落实党的十八届五中全会精神、探讨如何实施创新驱动发展战略、为广州...【详细】
聚焦中国梦:学校第76期党员发展对象学习班开课

11月21日上午,暨南大学第76期党员发展对象学习班在管理学院楼101会议厅开班。...【详细】
儿童牙齿稀疏需要补钙吗?

儿童牙齿稀疏还是较常见的,而很多家长的做法就是补钙,那么儿童牙齿稀疏需...【详细】
牙齿稀疏是怎么形成的?

牙齿是人进食的重要器官,在生活中很多人的牙齿都被各种疾病所困扰,牙齿稀...【详细】
牙齿缝隙是如何变大的?

牙齿缝隙又名牙齿稀疏,是一种常见的口腔疾病。那么牙齿缝隙是如何变大的?...【详细】
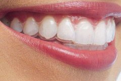
怎么使稀疏的牙齿紧密起来?

不知从什么时候起,我们的牙齿变的很稀疏,还很不整齐,这不仅会给形象上带...【详细】
牙列稀疏矫正需要多少钱?

牙齿牙缝过大,导致整口牙齿稀疏难看,说话时发音不准,吃东西时塞牙,种种...【详细】
版权:广州穗华口腔医院
备案号:粤ICP备15046903号
医疗广告审查证明文号:粤(A)广(2025)第1188号