12月1日下午,暨南大学英国校友会访问团回访母校,参观了校史馆,并与暨大招...
【详细】
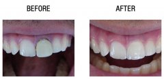
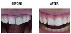
牙齿缺失了怎么办?镶牙、假牙还是烤瓷牙?如果你只知道这些,那你就OUT了。...
【详细】
种植牙按照植入时机分为延期种植牙和即刻种植牙,目前临床较普遍应用的是延...
【详细】
种植牙具有其他牙齿修复方式所不能媲美的优势,给牙齿缺失患者带来了福音,...
【详细】
人类拥有两副牙齿:乳牙与恒牙,而牙医为我们带来了第三副牙齿─人工种植牙...
【详细】
我们每个人都希望自己能有一个璀璨人生,我们都希望自己的生活就算不能十全...
【详细】
牙齿在人类身体结构当中占据着非常重要的位置,它除了发挥食物消化的第一道...
【详细】
11月26日,暨南大学第八届志愿者文化节开幕式在南校区运动场举行。学校党委...
【详细】
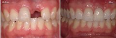
生活中,因为外伤或者口腔疾病导致牙齿脱落的人并不在少数,也许我们会觉得...
【详细】
随着口腔医学技术的逐渐提高,越来越多的人开始了解上种植牙的好处。可是有...
【详细】