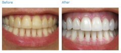
牙齿美白哪种方法好?

要想牙齿变得美白,让自己笑容更加的有自信,牙齿有色素的患者是需要做牙齿...【详细】
美白牙齿什么方法好?

清澈的眼眸,洁白的牙齿都是提高颜值的必备条件。除了提升颜值,雪白整齐的...【详细】
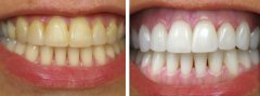
洁牙美白什么方法好?

拥有一口洁白美丽的牙齿是很多人的梦想,然而现实中不少人会因为氟斑牙而饱...【详细】
牙齿美白医院

拥有一口整齐洁白的牙齿,可以让爱美者看起来更加具有亲和力。尤其是对于那...【详细】
牙齿美白着名医院

一口洁白的皓齿是每个人都希望拥有的,但是由于各种各样的原因,很多人要面...【详细】
牙齿美白整形医院

笑容是非常具有感染力的,无论是在工作上还是在人际交往上,笑容都是一块很...【详细】
牙齿美白医院

拥有一口洁白的牙齿,是每个人所希望的,也是提高颜值的必备条件。除了提升...【详细】
皓齿美白牙医院

拥有一口洁白的牙齿能够提升个人形象,增加个人魅力,提升颜值有利于人际交...【详细】
皓齿美白牙齿着名医院

清澈的眼眸,洁白的牙齿都是提高颜值的必备条件。除了提升颜值,雪白整齐的...【详细】
“百年相对论”校园掀旋风 朱传界与师生共话爱

12月10日,中国人民大学物理系教授、着名理论物理学家朱传界做客百年暨南文...【详细】
版权:广州穗华口腔医院
备案号:粤ICP备15046903号
医疗广告审查证明文号:粤(A)广(2024)第255号