喷砂洁牙多少钱?

洗牙能预防口腔疾病,有利于口腔保健,现代很多爱美人士都选择了洗牙来对牙...【详细】
喷砂洗牙多少钱一次?

洗牙能预防口腔疾病,有利于口腔保健,现代很多爱美人士都选择了洗牙来对牙...【详细】
洗牙的费用是多少?

很多消费者都会有这个问题:洗牙的费用是多少?在医院洗个牙一般需要100元以...【详细】
洗牙费用

洗牙能够防治口腔疾病,而不单纯是为了好看。通过洗牙可以减轻牙龈炎、牙周...【详细】
洗牙如何收费?

现在爱美的女性都开始关注牙齿美容了,试想一个漂亮性感的女人,如果张开嘴...【详细】
洗牙收费是怎么样的?

洗牙收费是怎么样的?很多消费者都会有这个问题。在医院洗个牙一般需要100元...【详细】
洗牙需要多少费用?

据佳洁士公布的一份在网上进行的牙齿健康魅力指数调查的结果,其中85%人认...【详细】
洗牙怎么收费?

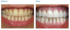
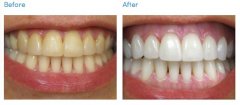
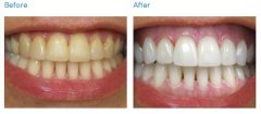
有些人的牙齿因为某些原因,使牙齿变得非常黄很是影响美观。如何改善黄牙呢...【详细】
洗牙大概价格

洗牙有利于口腔卫生的维护,同时,还能够预防治疗牙髓炎。定期的洗牙,不但...【详细】
洗牙的价格是多少?

洗牙是一种很好的牙齿保健手段,有利于口腔卫生的维护,同时,还能够预防治...【详细】
版权:广州穗华口腔医院
备案号:粤ICP备15046903号
医疗广告审查证明文号:粤(A)广(2025)第1188号