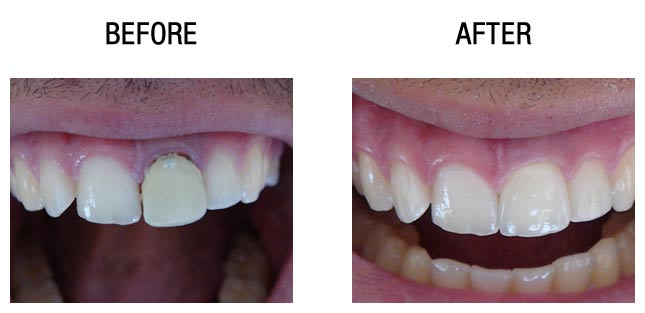
种植牙在人们眼里非常神秘而价格高昂,但事实真是如此吗?其实,种植牙性能优良、外观逼真、使用时间长,非常适合作为牙齿缺失的修复手段。那么种一颗牙要多少钱?下文请穗华口腔医院专家为大家介绍一下。
穗华口腔专家介绍:种植牙的价格包括种植体、修复基台、手术费用和烤瓷冠费用等。种植牙价格范围在几千到上万之间,但如果考虑到种植牙使用年限,广州种植牙一颗的价格其实相当划算。影响广州种植牙一颗的价格因素主要是以下几种:
1、医院品牌
牙齿缺失顾客在选择种植牙修复时,自然希望前往拥有先进设备和技术以及权威种植专家团队的专业口腔医院就医,同时也希望就医的环境能够比较安宁舒适。而知名的品牌口腔医院在提供给顾客更优的种植体验时,价格相对于不知名无保障的小诊所来说,当然会有所差别。
2、种植牙材料的种类
种植一颗牙的费用很大一部分上是由种植牙材料和种类决定的。目前有陶瓷种植体、高分子聚合物种植体、以及缝合材料种植体等各种种植牙材料,不同的种植牙材料拥有不同的价格。由于种植牙是一种口腔手术高科技,对于种植牙医的专业技能要求比较高,所以种植牙价格相对于假牙高昂。
3、口腔种植专家
能否找到一位经验丰富、技艺高超的口腔种植专家,是口腔种植是否能够安全、无痛、顺利完成的关键。因此专家治疗费用在种植牙总费用中的比例非常突出。越权威的种植牙专家,所收取的费用也就相对越高,当然手术效果也就越有保障。
一天种好满口牙,费用节省一大半,实现全口、半口种植牙即刻种植、即刻负重、即刻使用。All-on-4全口种植牙依靠独立的牙根存在,非常坚固,对人体无危害,而且寿命可以长达几十年。
1、种牙颗数少:只需4颗种植体就能够恢复半口牙,减少多颗种植费用。
2、适用范围广:对于长期缺牙导致牙槽骨萎缩严重的患者照样可以顺利种牙。
3、坚固耐用:四颗种植体抓力性好,术后的牙齿坚固程度和健康真牙一样。
4、自然美观:色泽和外观和真牙一样,完全可以以假乱真。
穗华口腔是您爱牙的放心之选
穗华口腔医院是拥有百年人文底蕴的暨南大学附属口腔医院临床教学医院,是广东省卫生厅批准成立的口腔专科医院,是集口腔诊疗、教学和科研为一体的现代化口腔综合医院,组建了由多位博士生导师和国内外知名专家构成的专业口腔专家队伍,承诺永远以顾客的牙齿健康为必要因素,确保给顾客高性价比的口腔治疗。
温馨提醒:牙齿问题是不容忽视的问题,对于牙齿问题,我们应该尽早进行治疗,以免给我们的生活造成不必要的麻烦和困扰。如果您还有什么问题或需要帮助,可在线咨询或拨打热线:020-62266666,将您的问题告诉在线医生,专家不仅能耐心为您分析解答,还能提供预约挂号的服务,让你就诊更方便快捷,“百度100遍,不如咨询一次”。