有些人由于口腔疾病问题或者意外,造成牙齿脱落,牙齿变得稀疏,那么牙齿稀疏怎么办?穗华口腔专家介绍:3D靶向种植术完美修复牙齿稀疏。

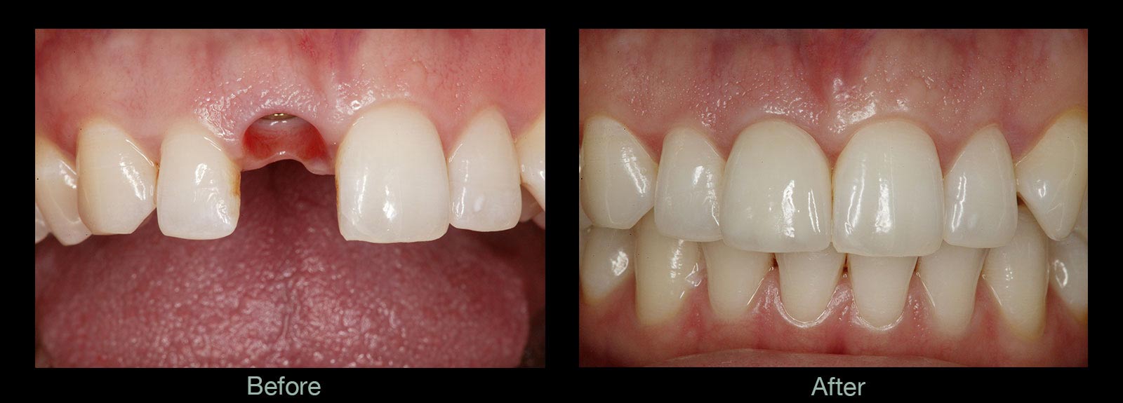
牙齿种植前后对比
3D靶向种植牙技术,是暨南大学多位种植名家多年积累的义齿修复技术和经验,与一系列国际前沿齿科设备结合的产物,应用意大利NewTom曲面断层扫描CBCT技术、德国WIELAND CAD/CAM计算机辅助设计与制作技术、美国Ambulanc笑气镇静镇痛系统、丹麦3shape 3D打印技术及3shape TRIOS激光扫描重建技术等,从5个方面打造穗华种植牙“40年预期留存率”超过90%的“长寿基因”!
1、定位更精准:CT3D颌面扫描、CAD设计方案,实现了种植体精准定位。
2、种植更安全:利用激光扫描和3D打印技术制作种植导板(用于精确指导种植体位置和方向的模板),医生在导板辅助下轻松手术,杜绝失误。
3、笑气镇痛更舒适:Ambulanc是目前欧美牙医的镇静镇痛技术,能让牙科恐惧症、晕血症和儿童患者轻松愉悦地“享受”牙科治疗。
4、治好牙周更长寿:种植牙患者大多有牙周病,而不治牙周病,种植牙迟早脱落。穗华口腔拥有华南领先的牙周科,跨科会诊确保高质量种植牙。
5、重建咬合更和谐:种植牙与邻牙不紧密易塞牙,与对牙不协调咀嚼无力。穗华口腔异常重视种植牙的咬合关系,力求让每一颗种植牙都与患者口腔和谐相处。
穗华口腔是您爱牙的放心之选
穗华口腔医院是拥有人文底蕴的暨南大学附属口腔医院临床教学医院,是广东省卫生厅批准成立的口腔专科医院,是集口腔诊疗、教学和科研为一体的现代化口腔综合医院,承诺永远以顾客的牙齿健康为必要因素,确保给顾客高性价比的口腔治疗,如果您还有什么问题或需要帮助,可在线咨询或拨打热线:020-62266666,将您的问题告诉在线医生,专家不仅能耐心为您分析解答,还能提供预约挂号的服务,让你就诊更方便快捷,“百度100遍,不如咨询一次”。