随着现代生活水平越来越高,食物的精细化,使得孩子的口腔得不到锻炼,孩子牙齿出现问题越来越多,很多孩子都存在牙齿不整齐的情况,有很多以至于出现牙齿畸形比较严重的情况,影响孩子心理的健康成长,那么儿童牙齿矫正什么年龄好?下文听穗华口腔专家为大家介绍一下。

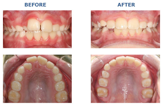
龅牙矫正前后对比
穗华口腔专家指出:儿童牙齿矫正要及时,否则错了矫正好时期,就比较麻烦了,儿童牙齿矫正一般分为三个年龄段。
第一、乳牙期4—5岁期间;在这个时期,出现地包天之类的畸形牙齿是很容易矫正的,因为年龄小,恢复的也快,在换恒牙的时候,恒牙会跟着矫正之后的畸形乳牙正常生长。
第二、6—9岁儿童早期混合牙列期;这个时期牙齿不齐特别常见,要是存在个别的牙反牙合。锁牙合,后牙的严重龋坏,就要及时治疗。因为这一时期的生长发育潜力仍然很大,牙齿和牙周组织对外力的刺激反应也快。
第三、10—13岁恒牙完成期间;这个时期恒牙已萌出完成,牙齿畸形已经基本定型,也能够准确的估计大多数用它吃生长变化可能对治疗带来影响,所以需要矫正可以选择这个时期。
孩子牙齿矫正的时候,选择的时期是很关键的,不能过早或者是过晚。在儿童做矫正的时候一定要选择一家正规的医院,孩子的安全才是家长的保障。
穗华口腔是您爱牙的放心之选
穗华口腔医院是拥有人文底蕴的暨南大学附属口腔医院临床教学医院,是广东省卫生厅批准成立的口腔专科医院,是集口腔诊疗、教学和科研为一体的现代化口腔综合医院,承诺永远以顾客的牙齿健康为必要因素,确保给顾客高性价比的口腔治疗,如果您还有什么问题或需要帮助,可在线咨询或拨打热线:020-62266666,将您的问题告诉在线医生,专家不仅能耐心为您分析解答,还能提供预约挂号的服务,让你就诊更方便快捷,“百度100遍,不如咨询一次”。