牙齿畸形有很多种,常见的错合畸形有:前牙后,俗称“地包天”;上颌、下颌以及双颌前突,俗称“龅牙”;牙列拥挤,出现重牙、虎牙等;开合,上下牙齿无法正常合拢在一起,那么这些牙齿畸形是怎么产生的呢?下文请穗华口腔专家为大家介绍一下。

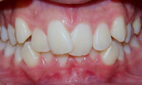
牙错位
穗华口腔专家介绍:吮手指、咬嘴唇不良习惯易导致错合畸形:错合畸形的发病原因很多,包括先天遗传、后天养成以及一些疾病,如佝偻病、垂体功能亢进等,其中,孩子的后天不良习惯是主要致病因素。孩子的骨骼正处在生长发育期,长期受这些习惯性的外力干扰,久而久之,很容易使他发育出现畸形。造成错合畸形的不良习惯:咬嘴唇,爱吮吸手指,托腮帮,伸舌头,含着奶瓶睡觉,咬铅笔,乳牙期经常用舌头舔牙齿。
穗华口腔是您爱牙的放心之选
穗华口腔医院是拥有百年人文底蕴的暨南大学附属口腔医院临床教学医院,是广东省卫生厅批准成立的口腔专科医院,是集口腔诊疗、教学和科研为一体的现代化口腔综合医院,承诺永远以顾客的牙齿健康为必要因素,确保给顾客高性价比的口腔治疗,如果您还有什么问题或需要帮助,可在线咨询或拨打热线:020-62266666,将您的问题告诉在线医生,专家不仅能耐心为您分析解答,还能提供预约挂号的服务,让你就诊更方便快捷,“百度100遍,不如咨询一次”。