牙齿的缺失影响患者面部的容貌,所以牙齿的修复势在必行。而种植牙是现在牙齿却是很好的修复技术之一,比其他牙齿修复方式更有优势,可以替代天然牙行使牙齿咀嚼功能,得到很多牙齿缺失患者的青睐。很多人也问:种植牙有什么缺点?下文请穗华口腔专家为大家介绍一下。

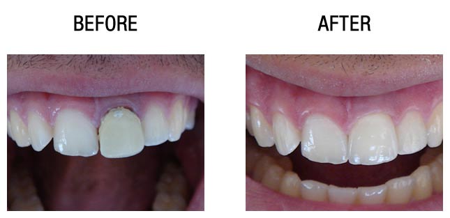
种植牙前后对比
1、有些人对植牙手术有一定恐惧感。实际上大可不必,除特殊情况,比如需植骨的手术较复杂一些外,对于骨量足者,种牙手术与拔牙手术损伤程度差不多。所不同的是,无菌要求比较严格,术前需要做一些准备工作,可能会给患者带来一些恐惧感。这些都是种植牙的优缺点。
2、其缺点是价格问题,目前是市场上贵的。市场价在万元以上。其价格是众多患者的考虑范围之外。
种植牙虽然是一个小手术,但是由专业的医生进行操作效果会更好,种植过程不会给牙齿带来伤害,对于修复牙齿有着很好的效果,不过因成本比较高,所以种植牙的费用相对也较高。
穗华口腔是您爱牙的放心之选
穗华口腔医院是拥有人文底蕴的暨南大学附属口腔医院临床教学医院,是广东省卫生厅批准成立的口腔专科医院,是集口腔诊疗、教学和科研为一体的现代化口腔综合医院,承诺永远以顾客的牙齿健康为必要因素,确保给顾客高性价比的口腔治疗,如果您还有什么问题或需要帮助,可在线咨询或拨打热线:020-62266666,将您的问题告诉在线医生,专家不仅能耐心为您分析解答,还能提供预约挂号的服务,让你就诊更方便快捷,“百度100遍,不如咨询一次”。